
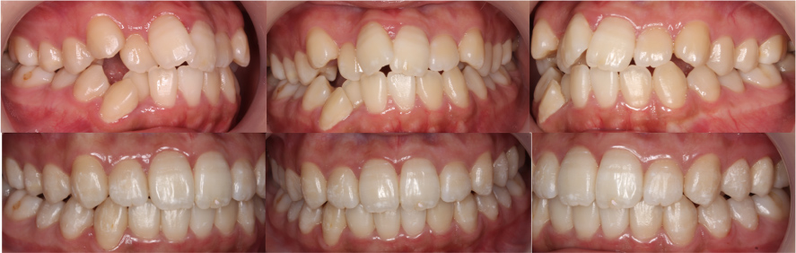
インビザラインとは、透明で着脱可能なマウスピースを装着して行う、矯正治療。 お口の中の情報を、専用のiTero(3Dスキャニング・マシン)で正確に読み取り、治療開始前の現在のお口の状態をデータ化し、治療終了後の綺麗な歯の並びまでを、コンピュータにて三次元的にシュミレーションします。 そのスキャニングデータをもとに専用のマウスピースを20~60個gほど制作し、定期的に交換していく事で、歯並びを改善していく、新しい矯正治療です。
インビザライン クリンチェック(動画診断)
インビザライン Go(i Go)








インビザラインのマウスピースを作製するためには、正確な歯型を採取することが必要です。 この歯型をより精密に採取するために、岩崎歯科医院では「iTero」(アイテロ)と呼ばれる光学3Dカメラによるスキャニングシステムを導入しております。 歯の型どりは、従来はシリコンで歯型を採取していましたが、正確性はもちろん、固まるまで時間や嘔吐反射がある患者さまが苦しむなど、デメリットがありました。 iTeroでは、正確な歯の型取りはもちろん、その様な患者様が不快に感じる問題点も改善された新しい医療用機器です。


iTeroによる口腔内のスキャン
iTeroを使って、口腔内をスキャンします。 上下の顎すべてを正確に撮影していきます。
治療シミュレーション
スキャンしたデータをもとに治療シミュレーションを作成。 治療後の綺麗な歯並びが3Dにて確認できます。
マウスピースによる治療の開始
スキャンしてから、おおよそ2~3週間ほどでマウスピースが完成します。 歯科医師の指示に従って装着していただきます。
矯正治療の終了
マウスピースを1~2週間に1度交換しながら、矯正治療を進めていきます。 治療計画で定められた日数の装着をして、移動した歯が安定したら矯正治療は終了となります。

※内4万円はクリンチェック動画検査
| マウスピース矯正 700,000円〜(税別) |
36回払い 月々21,200円〜(税別) |
60回払い 月々13,400円〜(税別) |
|---|---|---|
| マウスピース矯正 (部分矯正) 350,000円〜(税別) |
36回払い 月々10,600円〜(税別) |
60回払い 月々6,700円〜(税別) |
ご相談だけでも結構です。
まずはお気軽にご相談くださいませ。
※プライバシーに配慮し、個室でのご相談も可能です。
インプラント治療は、従来の入れ歯やブリッジとは違い、天然歯のように美しくしっかりと噛める歯を取り戻す治療法です。
失った歯の代わりに人工歯根(インプラント)を埋め込み、その上に人工の歯を装着します。健康な歯を削ることはありません。
審美歯科治療とは、天然歯のように自然で美しい口元を作ることを目的とした治療です。しかしながら、見た目の美しさの回復は、歯や歯茎の健康はもちろん、咬み合わせなどの正常な機能を持続させることにも貢献しています。主な治療として、歯を削らないホワイトニング、セラミッククラウン・インレーによる修復治療と、表面だけを削るラミネートベニヤなどがあります。様々な目的・処置方法がございますので、審美歯科治療にかかる治療費は、治療法により大きく異なります。失った歯の代わりに人工歯根(インプラント)を埋め込み、その上に人工の歯を装着します。健康な歯を削ることはありません。