クリニックブログ BLOG
26.03.12
こんにちは😊衛生士の山田です。
目立たない入れ歯『ノンクラスプデンチャー』をご存知ですか?
『ノンクラスプデンチャー』は金属のバネを使わずに装着する
部分入れ歯のことです。

☝️見ためが自然で笑ったり話したりした際に
周りの人に気づかれにくいのが大きな特長で
見ためを気にされる方におすすめです。
☝️通常の部分入れ歯は金属のバネをかけることで歯への負担もかかりますが
ノンクラスプデンチャーは樹脂を歯肉に被せる様に装着する為
周囲の歯にかかる負担を分散しやすく
歯を健康なまま維持できる可能性が高まります。
☝️金属アレルギーの方でも安心して使っていただけます。
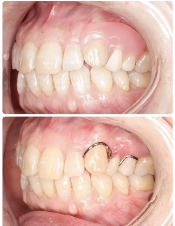
当院で保険の入れ歯を作られて、金属のバネが気になるとのことで、
ノンクラスプデンチャーにされた患者様です。

金属のバネが見えないだけでなく自然な感じで
とても喜んでいただきました👌

⭐️審美性と快適さ、残存する健康な歯への負担も軽減する入れ歯です。
入れ歯でお悩みの方、お気軽にご相談ください。
インプラント治療は、従来の入れ歯やブリッジとは違い、天然歯のように美しくしっかりと噛める歯を取り戻す治療法です。
失った歯の代わりに人工歯根(インプラント)を埋め込み、その上に人工の歯を装着します。健康な歯を削ることはありません。
審美歯科治療とは、天然歯のように自然で美しい口元を作ることを目的とした治療です。しかしながら、見た目の美しさの回復は、歯や歯茎の健康はもちろん、咬み合わせなどの正常な機能を持続させることにも貢献しています。主な治療として、歯を削らないホワイトニング、セラミッククラウン・インレーによる修復治療と、表面だけを削るラミネートベニヤなどがあります。様々な目的・処置方法がございますので、審美歯科治療にかかる治療費は、治療法により大きく異なります。失った歯の代わりに人工歯根(インプラント)を埋め込み、その上に人工の歯を装着します。健康な歯を削ることはありません。