クリニックブログ BLOG
26.01.21
本日は、60歳代男性患者様のケースです。

前歯には、過去に他院様にてプラスチックが前面に貼り付けてある「前装冠」という保険診療のクラウン(被せ物)が施されている状態でした。
奥歯には複数の歯に銀を主成分とするメタル修復がされている状態でした。

今回は審美修復含めて、全体的に綺麗にしていく計画を患者様と一緒に建てさせていただきました。

今回のようなケースは一気に全部を変えていく方法と、順番に部分部分に分けて変えていく方法があります。


個人的には特に時間て制約がなければ、順番に変えていく方が安心だと考えております。
今回は開口量、顎関節には全く問題なかったため、現在の顎位にて順番にジルコニア材料の被せ物にて治療を進めていきました。
完成がこちらになります。

必要箇所には顕微鏡(マイクロスコープ)にて根管治療を行い、先月、全部の治療が完成しました。
術前、術後で比較すると、とても口腔内が明るくなり、正面から見てもとても若々しく感じます




今回は約1年ほどかけながら順番にゆっくり焦らずしっかりと治療を行っていきました。
あとは、この状態を保つ事が重要です。
しっかりメンテナンスさせていただき、少しでも天然歯で過ごしていただけるよう頑張っていきます。
最後に、こちらの患者様には自由診療を受けて頂いただけでなく、たくさんの患者様もご紹介いただきました。
さらにお菓子なども、複数回くださいました。この場を借りて、改めて本当にありがとうございました。
岩崎歯科医院
24.07.06
岩崎歯科医院
院長の芳金信太郎です。
今回はマイクロスコープを用いた精密根管治療について1つの症例を交えてブログを書きたいと思います。

患者さんは50歳代女性です。左上の歯茎が大きく腫れてきたというのが主訴でした。
実際の写真です。内側の歯茎は非常に厚くなっていますが、そこの歯肉が赤く大きく腫れ上がっています。

ひとまずは、抗生剤にて急性症状を抑えて、大きく腫れていたところは少し縮小したところで根管治療へと移行しました。

ここまで大きく腫れているとなると、骨の吸収も著しく進んでいることも多々ありますが、今回はCTで確認したところ、比較的骨の吸収は少ないようで安心しました。骨の吸収が少ないと勝算の見込みが高くなります。


まずは過去に治療された詰め物を外し、う蝕検知液を用いて歯冠部分の感染源をしっかり取っていきます。

実はここがすごく重要で根管内より細菌数は詰め物を外したエリアの方が多いため、まずは徹底的に入口をキレイにする必要があります。すぐに根管内に器具を入れてはいけません。
感染源の除去が終わったら、隔壁と言って歯の周囲が360度覆われるように壁を作っていきます。

そこからラバーダムにて歯を隔離していよいよ根管治療のスタートです。
ちなみに、根管治療は本当に小さい領域の治療です。マイクロスコープなしの治療は不安でしかないです。
そして非常に多くの時間とたくさんの機材、材料を用います。今回は歯の内部から出血が一才ありませんでした。これは神経が壊死していることを意味します。全ての根管の神経は壊死を起こしておりました。

特に大臼歯は根管数も3〜4根管で形態もかなり複雑です。その中でも近心頬側根と呼ばれる根管にはMB1、そしてMB2と呼ばれる2つの管が存在しており、MB2なんかはかなり隠れて存在しているため見つけることが困難な根管でもあります。しかしほとんど確率でM B2は存在しているため、ここを見逃されていることが多いので大体この根が数年後に再治療になることが大多数です。ここをしっかり仕上げれるかが上顎第1大臼歯の肝です。

事前のCTで根管を診断してマイクロスコープとニッケルチタンファイル、そして極細のファイルで根管形成を行います。
洗浄液には5%濃度の次亜塩素酸にて消毒をしっかり行います。

徐々に根管拡大が済んでいくとキレイな「顔」をした形態になってきます。
1〜2回の治療が済むと徐々に歯茎の腫れもなくなり、歯肉は引き締まってきます。

今回はMB1とP根にMTAセメント、根管の細かったD根、MB2にMTAシーラーとガッタパーチャポイントにて根管充填を行っております。

その後にグラスファイバーとレジンにてコアを形成します。この時もほとんど歯は削らないようにします。

そして歯の形をマイクロスコープ下にて形成します。

仮歯を経て最後にジルコニアクラウンにて完成です。

根管治療がしっかりなされていると感染もあっという間になくなり、痛みの消退、歯肉、歯槽骨の改善へとつながります。
天然歯に勝るものはありません。
できるだけ歯を抜かないように、もっというとできるだけ神経も抜かないように保護したりしております。
根管治療もしっかり丁寧に行っております。(一部自由診療)

23.11.07
岩崎歯科医院
院長の芳金信太郎です。
私は研修医の時からインプラント治療を多く手掛ける歯科医院で学ばせていただき、またニューヨーク大学のインプラント科にも短期ではありますが学ぶ機会があり、出来るだけ歯の無い部分にインプラント治療が出来ない事がないように研鑽をしてまいりました。
その後、天然歯を出来るだけ、いい状態で保存できるようにマイクロスコープの治療をより多く学んできました。
最近は歯の心臓と言っても過言ではない歯髄(神経)を残す治療を多く行なっております。
今回のケースは歯を失ってしまった部分にインプラント治療を行なった2つのケースのご紹介です。
まず1つ目は左上の臼歯部にインプラント治療を行なった1例です。
上顎の大臼歯部は上顎洞という大きな空洞があり、インプラントを設置するには骨の量が不足するケースがほとんどです。
ニューヨーク大学ではこの上顎洞に骨を作るアプローチ:上顎洞底挙上術(サイナスリフト)を学びました。

レントゲンがこちらです。

緑の線が元々の既存骨です。骨量は少ないため、上顎洞内部に骨補填剤を充填して赤線部分まで盛り上げました。
その後、時期を分けてインプラントをサージカルガイドを用いて設置していきます。

奥の2つが完成時の歯となります。
奥歯に「入れ歯」を入れるのは咀嚼満足度が落ちると言われており、インプラントは効果的な方法です。
ちなみに、より上顎洞内部の構造の理解を図るために、3Dプリンターから模型を製作して
事前のシミュレーションをします。


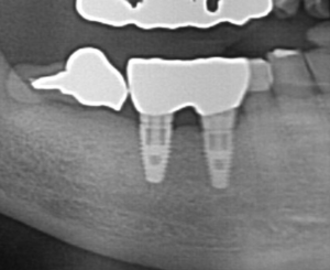
2つ目のケースは下顎の大臼歯にインプラント治療を行なった症例です。

ブリッジしてある状態でしたが、手前の歯は残念ながら保存が出来ないほど崩壊しておりました。
奥歯(写真でいう左下の歯)も抜歯の適応ではありましたが、全く症状がないため、ひとまずはブリッジをカットして保存することとなりました。欠損部分にはインプラント治療を行いました。

抜歯を行い、骨の回復を待ってから、インプラントを設置していきます。

インプラント設置後、3ヶ月で仮歯を入れて、その後、最終の歯を取り付けていきます。


もし、歯が残っていれば第一選択は出来るだけ、マイクロスコープで天然歯を残します!!!
でも、残念ながら虫歯で崩壊が著しいケースや歯周病で大きく骨が失われていて動揺が大きい場合、また歯が割れてしまっている場合は抜歯になってしまうこともあります。
その場合の1つの治療としてインプラントは噛む、食べる、話す、といった機能回復をするのにはいい治療になる場合があります。
でも、やっぱり天然歯に勝るものはございません。
しっかりした、いい材料(ゴールド材料やセラミックやジルコニア)で充填したり、歯髄の温存、早期の歯石除去、これらが歯の保存にはとても重要です!
岩崎歯科医院
芳金信太郎
23.10.23
こんにちは。
歯科医師の二村です。
今回全体的に銀歯を白くしたいとの希望で来院されました。

この写真の通り、上顎と下顎に銀歯の詰め物や被せ物が装着されているのが分かります。
一本ずつ詳しくお伝えしていきます。
① 右上の6番目の被せ物を治療しました。


右上6番は根っこの先端に病気があったため、精密根管治療をしてセラミックを被せました。
② 下顎の銀歯の詰め物を治療しました。
セラミックインレーとダイレクトボンディングのメリットデメリットを説明したところ今回はダイレクトボンディングを希望されました。
ダイレクトボンディングのメリット
1、セラミックに比べると削る量を抑えられる
2、即日に治療が完了できる
ダイレクトボンディングのデメリット
1、強度が劣るため虫歯が大きい場合は適応外になる可能性あり。
2、セラミックより審美性劣る。
3、経年劣化により変色する可能性あり
左下5番のダイレクトボンディングです。


右下5番のダイレクトボンディングです。

③左上4、5番のダイレクトボンディングです。

④左上6番はセラミックの部分的な被せ物を装着しました。
セラミックを選択した理由は、先ほどにも述べたようにダイレクトボンディングはセラミックに比べると強度が劣り、6番目の歯は咬む力が強力なためです。

治療前治療後の比較写真です。


銀歯を白くすることにより見た目だけでなく、虫歯になりにくくなりメリットが多いので銀歯でお困りの方は是非ご相談ください。
instagram @iwasaki0418 四日市駅徒歩3分 近鉄四日市駅徒歩10分
23.06.28
こんにちは。歯科医師の二村です。
今回はプラスチック(コンポジットレジン)とセラミックインレーの違いについてお伝えします。
この2種類の材料を選択するケースは主に虫歯治療での処置になります。

2種類のメリットデメリットについて説明します。
コンポジットレジンのメリット
1、健康な歯を必要最小限に抑えることができる
2、即日に治療が完了できる
3、審美性が高い(セラミックよりかは劣る)
コンポジットレジンのデメリット
1、強度が劣るため虫歯が大きい場合は適応外になる可能性あり。
2、セラミックより審美性劣る。
3、経年劣化により変色する可能性あり
コンポジットレジンの処置の症例
ケース1

ケース2

ケース3

ケース4
セラミックのメリット
1、審美性が高い
2、強度がコンポジットレジンより高い
3、虫歯になりにくい
セラミックのデメリット
1、健康な歯をコンポジットレジンよりも削る必要がある
2、型取りと装着で2回来院しなければならない
3、コンポジットレジンよりコストがかかる
ケース1

ケース2

ケース3

ケース4

このようにコンポジットレジンとセラミックは様々な利点と欠点がありますので、患者さんと相談してより良い治療を提供していきます!!
instagram @iwasaki0418
四日市駅徒歩3分 近鉄四日市駅徒歩10分
岩崎歯科医院
インプラント治療は、従来の入れ歯やブリッジとは違い、天然歯のように美しくしっかりと噛める歯を取り戻す治療法です。
失った歯の代わりに人工歯根(インプラント)を埋め込み、その上に人工の歯を装着します。健康な歯を削ることはありません。
審美歯科治療とは、天然歯のように自然で美しい口元を作ることを目的とした治療です。しかしながら、見た目の美しさの回復は、歯や歯茎の健康はもちろん、咬み合わせなどの正常な機能を持続させることにも貢献しています。主な治療として、歯を削らないホワイトニング、セラミッククラウン・インレーによる修復治療と、表面だけを削るラミネートベニヤなどがあります。様々な目的・処置方法がございますので、審美歯科治療にかかる治療費は、治療法により大きく異なります。失った歯の代わりに人工歯根(インプラント)を埋め込み、その上に人工の歯を装着します。健康な歯を削ることはありません。