クリニックブログ BLOG
26.01.15
こんにちは。衛生士の中野です。
今回は、下顎前突(受け口)と歯列不正を伴う症例の矯正治療 Before/Afterをご紹介します。
「自分の歯並びと似ている」
「矯正でどこまで改善できるの?」
と感じている方の参考になれば幸いです。
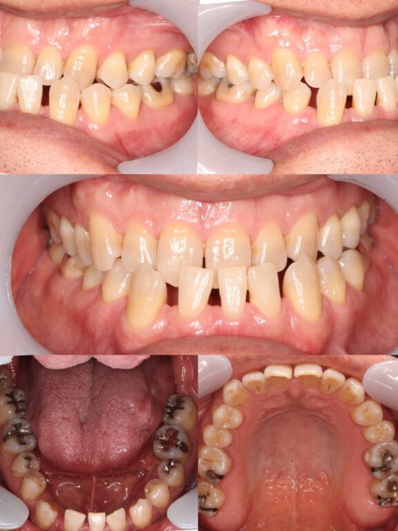
初診時の状態(Before)
▶ 診断内容
本症例では、以下の診断結果となりました。
・骨格性Ⅲ級
・下顎前突(受け口傾向)
・正中偏位(下顎が左側へ偏位)
・下顎空隙歯列(すき間のある歯並び)
・下顎右側中切歯の先天欠如
骨格的な問題に加え、歯の欠損や左右差も認められる複合的な症例でした。

治療方針について
▶ 基本治療方針
•上下顎ともに非抜歯矯正
•必要に応じて IPR(歯と歯の間をわずかに削る処置) を併用
•下顎のスペースをコントロールしながら噛み合わせを改善
▶ 噛み合わせの目標設定
•右側:Angle Class Ⅲ finish
•左側:Angle Class Ⅰ finish
左右差を考慮し、機能性と審美性の両立を重視した治療計画を立てました。
▶ 使用した矯正装置
•マルチブラケット装置(ワイヤー矯正)
•右側に Ⅲ級ゴム を使用し、下顎全体のスペース閉鎖を実施
•上顎前歯部は バイトアップ にて装置接着に対応
動的治療期間
・約2〜2.5年
歯の移動量や噛み合わせを細かく調整しながら、安定した治療結果を目指しました。

治療後の状態(After)
矯正治療後は、
• 下顎前突(受け口)、歯列の乱れが改善
• 正中のズレが可能な範囲で改善
• 噛み合わせが安定
• 口元のバランスが向上
し、見た目だけでなく、全体でしっかり噛める機能的な歯並びとなりました。
歯並びが整うことで、
歯みがきがしやすくなり、将来的なむし歯・歯周病予防にもつながります。
矯正治療をご検討中の方へ
「受け口が気になる」
「抜歯が必要か不安」
「自分に合う矯正方法を知りたい」
そんな方は、ぜひ一度 岩崎歯科医院までご相談ください。
患者さん一人ひとりに合わせた、無理のない矯正治療をご提案します。
インプラント治療は、従来の入れ歯やブリッジとは違い、天然歯のように美しくしっかりと噛める歯を取り戻す治療法です。
失った歯の代わりに人工歯根(インプラント)を埋め込み、その上に人工の歯を装着します。健康な歯を削ることはありません。
審美歯科治療とは、天然歯のように自然で美しい口元を作ることを目的とした治療です。しかしながら、見た目の美しさの回復は、歯や歯茎の健康はもちろん、咬み合わせなどの正常な機能を持続させることにも貢献しています。主な治療として、歯を削らないホワイトニング、セラミッククラウン・インレーによる修復治療と、表面だけを削るラミネートベニヤなどがあります。様々な目的・処置方法がございますので、審美歯科治療にかかる治療費は、治療法により大きく異なります。失った歯の代わりに人工歯根(インプラント)を埋め込み、その上に人工の歯を装着します。健康な歯を削ることはありません。