クリニックブログ BLOG
26.01.18
こんにちは歯科衛生士の石川です😊
卒業式、入学式、就職🌸など、少し先ですが準備はできていますか?
新しいスタートに向けて、歯を白く美しくしてみられるのもおすすめです✨✨
ホワイトニングには2タイプのものがございます。
🔸ホームホワイトニング(自宅で行う)
上下のマウスピースを作製し薬液を付けて白くします。
🔸オフィスホワイトニング(歯科医院で行う)
1時間かけて歯科衛生士が行います。
そして、さらに白さを求められる方にはデュアルホワイトニングと言って両方を行う物もございます。
臨床で感じることは、やはり両方を行っていらっしゃる方は、とても白くなられていると感じます✨✨
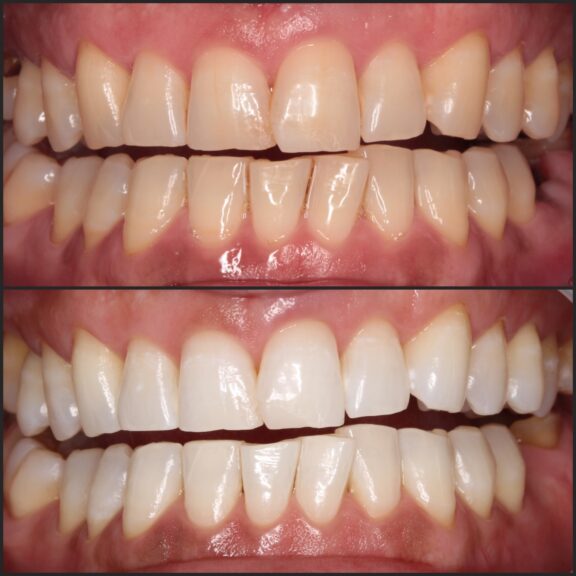
こちらが両方を行っていらっしゃる方の写真です。上段がホワイトニング前、下がデュアルホワイトニング後になります。

慣れてくると、ご自分でホームホワイトニングの間隔がわかってくるようで現在も美しさをキープされています✨✨
ホームホワイトニングはオフィスホワイトニングでは届かない奥歯の方まで白くすることも可能です😃
気になる方は、お気軽にお声掛けください!
インプラント治療は、従来の入れ歯やブリッジとは違い、天然歯のように美しくしっかりと噛める歯を取り戻す治療法です。
失った歯の代わりに人工歯根(インプラント)を埋め込み、その上に人工の歯を装着します。健康な歯を削ることはありません。
審美歯科治療とは、天然歯のように自然で美しい口元を作ることを目的とした治療です。しかしながら、見た目の美しさの回復は、歯や歯茎の健康はもちろん、咬み合わせなどの正常な機能を持続させることにも貢献しています。主な治療として、歯を削らないホワイトニング、セラミッククラウン・インレーによる修復治療と、表面だけを削るラミネートベニヤなどがあります。様々な目的・処置方法がございますので、審美歯科治療にかかる治療費は、治療法により大きく異なります。失った歯の代わりに人工歯根(インプラント)を埋め込み、その上に人工の歯を装着します。健康な歯を削ることはありません。