クリニックブログ BLOG
22.06.08
岩崎歯科医院 院長の芳金信太郎です。
今日のブログはインプラント治療です。

その前に歯を抜く場合は基本的には「垂直性の歯根破折」、つまり歯が縦に割れているケースです。
歯の部位にもよりますが、歯根が複数ある大臼歯では、上記の縦に歯が割れているケースでも歯根切除やヘミセクションという歯の半分をカットして残りの根を使うなど万全でないにしても、その歯を保存をするケースもあります。その場合の予後は
Fugazotto 2001 で歯のカットする部位場所で成績に差がありますが、
上顎の大臼歯 95.5%~100%
下顎の大臼歯で75%~99.4%と報告しております。
下の歯は基本的に歯根が2つ(3つの場合や1つの場合もあります)で、上の大臼歯は歯根が基本的に3つなので上顎の方が成績が高いと思われます。
その他に被せ物ができないほど歯が崩壊している場合や、重度歯周病で歯に動揺が著しくグラグラと揺れている場合などはご相談の上、抜歯となる場合もあります。
天然の歯に勝るものはありませんので、可能な限り、天然歯を残すご提案をさせていただきますが、残念ながら既に歯が欠損しているケースにおいてはそのご提案ができません。
その場合に有用となるのはインプラント治療です。
もちろん、インプラントにもいくつかのトラブルは生じます。
Single implant restoration インプラント1本治療の成績としてSurvival rateサバイバルレートというものがあります。
成功というより生存率という表現が使われます。インプラントやインプラント周囲(歯肉や骨)にやや問題があっても使用できているという表現です。
Prosper 2003は 97%
Covani 2004は 96%
Netwin 2004は 99%
Fugazzotto 2004は95% の確率で使用できているというデータがあります。
しかし、今回のケースは過去に前歯をインプラントをしたが残念ながらインプラントを撤去して、再度インプラント治療を行うかどうするか?

という相談で来院された患者様でした。
CTとデジタルワックスアップにて分析を行うと表側の骨が薄く、骨を造成させる必要がありました。


歯がない部位に対する治療は「インプラント治療」だけではなく、「ブリッジ治療」または「入れ歯治療」もございますが今回は再度インプラント治療で行うという決断を患者様はされました。
この後、少し刺激のある画像になりますのでご注意ください。
インプラントのシミュレーションからガイドを制作しインプラントを設置していきます。

その後、骨が少ないと予測されていた部位に自家骨、異種骨を足して、メンブレンという膜にて覆います。


メンブレンという膜にて覆います。
最後に歯肉に無理な力がかからないようにテンションフリーにて縫合して終了です。
おおよそ30分ほどの治療内容です。(骨の造成がなければ10〜15分程度です)
5〜6ヶ月ほどインプラントと骨が嵌合する期間を待ち、仮歯を経て最終の歯へと移行します。
最終上部構造(インプラント体に接続する歯)はスクリューリテイン:ネジ固定です。

繰り返しますが、できれば天然歯がベストです。
しかし、歯を失ってしまった場合の1つにインプラント治療も重要な治療と考えます。
岩崎歯科医院 院長 芳金信太郎
instagram:@iwasaki0418
四日市駅徒歩3分 近鉄四日市駅徒歩10分
22.05.13
岩崎歯科医院 院長の芳金信太郎です。
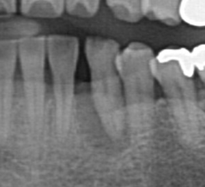
今回は歯の周りの骨が歯周病細菌が原因で歯を保存することが出来なくなってしまった症例です。
こちらがそのレントゲンです。歯の周りに黒い影があり、歯の根の周囲まで感染が広がっています。

今回の治療は抜歯を行い、3ヶ月待ってから骨の再生を促す処置(GBR:Guided Bone Regeneration)を行いました。

上記の写真が歯周病にて細く、溶けてしまった状態です。

骨の幅が広がるよう骨の顆粒を足していきます。
4ヶ月後にそこにインプラントを設置しました。

そしてこちらが術前と術後の歯が入った写真です。
インプラント設置して3ヶ月すればしっかり治癒してくれます。

そしてこちらが術前と術中、術後の歯が入った写真です。

少し、写真のアングルが違う点はありますが歯茎のラインが隣の歯よりも高くなり、しっかり治癒していることが分かります。

こちらの犬歯は抜歯→3ヶ月後にGBR→4ヶ月にインプラント設置→3ヶ月後に歯が入るという計10ヶ月程の治療となりました。
一方で、奥歯の治療は抜歯と同時に骨を作り、4ヶ月後にインプラント設置して3ヶ月待つという流れでした。

奥歯も歯の根の周囲まで骨が壊れてしまったところをインプラントにて治療したレントゲンです。

一言で歯周病と言っても骨の吸収度合いは人様々です。軽度の進行であれば歯周治療とメンテナンスで歯の保存が可能です。
しかし、重度まで歯周病が進行してしまうと残念ながら抜歯の可能性が高くなります。
重度歯周病の場合は歯の根からも感染を起こしている場合もあるので根管治療や再生療法と組み合わせて
保存するケースもあります。
病気に関して言えるのは早期発見、早期治療がベストです。
無症状な時こそ治療のしどきです。
「また、何かあったら来ます」このパターンは結構な確率で病気は進行してます。
小さい感染こそ高い確率で治癒します。
やはり定期的なメンテナンスはとても重要ですね。
22.04.14
岩崎歯科 院長の芳金信太郎です。
マイクロスコープでの根管治療は本当にすごいです!!!

以前のルーペや肉眼のみでの根管治療では歯の根の先にある感染があまり治癒することが実感できませんでしたが、
マイクロスコープで治療をするとしっかり治癒するケースがとても多く感じます。

実際にマイクロだけを使っているのではないですが(^^;
矢印のあるところが歯の根の入り口である根管孔といいます。
ここをしっかり見つけて入り口を形成していきます。
これがとても大事で肉眼だとなかなか見つけづらいケースも多いです。

その一例ですが、レントゲンにて歯の根の先に黒い影が感染によって骨が溶けてしまったことを意味します。

左の赤丸の部位が感染がある部位です。

見事に黒くなっていたところが右の赤丸のように白く骨の色に変わりました。
しっかり治癒するにはある法則があります。
感染防止であるラバーダムや湾曲根管への追随しやすいニッケルチタンファイル、ファイルでは落としきれない部位への次亜塩素酸洗浄、
緊密な根管の封鎖、そしてラバーダム下でのファイバーコアや適合の良い被せ物。
これらは本当に必須だと考えております。

場合によっては、根管治療に加えて、外科的に歯の根の先の感染を取り除く
治療も必要とするケースもありますが、
それでも歯の保存できるケースがとても増えております。
少しでもご自身の歯をしっかり残しませんか!?(^0^)
岩崎歯科医院
芳金信太郎
22.03.01
こんにちは。岩崎歯科 歯科医師の二村です。
今回の患者様は左下の奥歯が欠損しておりインプラント治療を行いました。

歯を失う理由はいくつかありますが、その中の一つに咬み合わす力によっても歯が壊れてしまう事があります!!
この患者様も写真右上の部分の歯が欠損しているため片方での咬む力が過剰になり将来的にその部位が壊れてしまう可能性があるので、それを予防するために左下にインプラントを設置することにしました。

インプラントは人工歯根を骨の中に設置をして、その上に被せ物を装着します。
そのため骨の形、高さ、幅が非常に大事です。骨の中には神経や血管が通っています。

当院では、CT撮影データとシミュレーションソフトウェアを組み合わせて治療計画を立てます。
それによりインプラント設置前に骨の形態や質、神経の位置を把握し安全安心な治療を行うことができます。
今回分析した結果インプラントの長さは10ミリ、幅は5.0ミリで設置を行いました。


インプラントを設置をした後に骨と結合するのに約3ヶ月間待ちます。

3ヶ月経過後、型取り用のパーツを装着し模型を作成します。
仮歯でおよそ1ヶ月間様子をみて問題なければ最終的な被せ物を装着します。


最終的なジルコニアを用いた上部構造を設置してインプラント治療が完了しました!!
現在も経過をみていますが、しっかりと咬めていて良好です!!

皆さんもお困りの事があれば、歯科医師、スタッフに何でもご相談くださいね。
Instagram @iwasaki0418
四日市駅徒歩3分 近鉄四日市駅徒歩10分
21.11.02
こんにちは。
歯科医師の二村です。
今回の患者さんは前歯の被せ物が劣化したため見た目が気になるとの事で来院されました。
パッと見てどこだと思いますか??

↓
↓
↓
↓
↓
↓
そうなんです!!

○で囲った部分です。これはレジン前装冠という金属フレームにプラスチックを表面に張り付けた種類の被せ物です。そのプラスチックが剥がれてしまって内部の金属が見えてしまっているのです。

実際に被せ物を除去して形を整えました!

このように綺麗にセラミックを被せました。

皆さんも前歯を綺麗にして美しくなりませんか!?
インプラント治療は、従来の入れ歯やブリッジとは違い、天然歯のように美しくしっかりと噛める歯を取り戻す治療法です。
失った歯の代わりに人工歯根(インプラント)を埋め込み、その上に人工の歯を装着します。健康な歯を削ることはありません。
審美歯科治療とは、天然歯のように自然で美しい口元を作ることを目的とした治療です。しかしながら、見た目の美しさの回復は、歯や歯茎の健康はもちろん、咬み合わせなどの正常な機能を持続させることにも貢献しています。主な治療として、歯を削らないホワイトニング、セラミッククラウン・インレーによる修復治療と、表面だけを削るラミネートベニヤなどがあります。様々な目的・処置方法がございますので、審美歯科治療にかかる治療費は、治療法により大きく異なります。失った歯の代わりに人工歯根(インプラント)を埋め込み、その上に人工の歯を装着します。健康な歯を削ることはありません。