クリニックブログ BLOG
23.03.22
こんにちは。歯科医師の二村です。
先日再生療法セミナーに参加してきました。
再生療法とは歯周病によって失った歯周組織を回復する事です。

それを成功させるには様々な条件が必要です。

細胞、足場、サイトカインの条件がそろった時に再生されます。
1、細胞
(歯槽骨、歯根膜、骨髄、脂肪組織由来の幹細胞)
2、足場
(血餅、骨補填、GTR法)
3、サイトカイン
(エムドゲイン、リグロス)
2番目の足場について
①骨補填の役割として再生するためのスペースの獲得です。
そのため感染が起こりにくく骨が吸収しにくい材料が望ましいです

・自家骨が一番望ましいですが、骨吸収が早くスペースの獲得には難しい
・他家骨は日本では不認可のため患者さんからの同意が必要
・人工代用骨は骨吸収が早い
・異種骨は吸収が起こりにくい
最近では吸収が起こりにくいため異種骨を使用する事が多い。
異種骨は国で承認されている牛の骨のバイオスという材料を使用します。


院長との2ショットです!!!!!!!!
②GTR(メンブレン)の役割として骨欠損部に遮蔽膜を設置することで上皮の侵入を防ぎ、歯根膜由来細胞を選択的に歯周組織の欠損に誘導することにより歯周組織再生を図る
メンブレンの種類
・サイトプラスト(非吸収性)
・GCメンブレン (吸収性)
・バイオガイド (吸収性)
(サイトプラスト)
遮蔽力強い
非吸収性のため2回のオペが必要
感染しやすい
(GCメンブレン)
吸収早い
材料が硬いため操作性が難しい
(バイオガイド)
国承認の豚の心臓由来のメンブレン
吸収比較的長い


実習中の様子です!!!!
3番目のサイトカインについて
①エムドゲイン

セメント質を誘導して歯周組織の再生を図る。

②リグロス

創傷治癒過程において細胞同士の活性化する際にbーFGFが放出される。それを利用したのがリグロス。リグロスを使用することにより血小板、マクロファージ、線維芽細胞、上皮細胞、血管内皮細胞の機能を高めて再生する。

再生療法は使用する材料も大事ですが、術者の技術により成功を左右されるものなので、私もこのセミナーを受講してより切磋琢磨して患者さんに良質な医療を提供しようと改めて感じました。

講師の寺嶋先生との2ショットです!!!!!!!!!
instagram @iwasaki0418 四日市駅徒歩3分 近鉄四日市駅徒歩10分
22.12.21
こんにちは、歯科医師の二村です。
今回虫歯治療について説明します。
虫歯を削った所に詰め物で修復をしなければいけませんが、修復をする方法にもコンポジットレジン、銀歯、セラミックの3つの方法があります。
3つの中のコンポジットレジンについて説明いたします。
コンポジットレジンは白いプラスチックのことです。
・メリット
1、即日で治療完了
2、健康な歯を最小限に削るのを抑えることができる
3、セラミックよりは劣るが審美性が改善できる
・デメリット
1、強度が弱いため広範囲の虫歯には難しい
2、経年劣化して変色してしまう
3、セラミックに比べると審美性が劣る
コンポジットレジンの症例をいくつか写真でお見せします。
症例①

症例②

症例③

症例④

症例⑤

症例⑥

症例⑦

このように治療することが可能ですので、ご興味ある方は一度ご相談下さい。
Instagram @iwasaki0418
四日市駅徒歩3分 近鉄四日市駅徒歩10分
22.09.28
岩崎歯科医院 院長の芳金信太郎です。

本日は、拡大するためのアイテムについて書きたいと思います。
人間の視力に関して、遠くを見る視力、近くを見る視力があります。
みらい研究所のひとみ研究室の記載より
↓↓↓
一般的な視力検査は、5m離れた視標(しひょう)で測定する遠見視力検査です。近見視力検査は、目から30cmの位置に視標を置き測定します。健康診断では近見視力検査が行われないため、「遠くが見えれば、近くも見えている」と思いがちなので、近見視力不良には気付きにくいようです。
歯科治療は近見視力が重要となります。
私たちは、物を大きく見たい時は顔を近づけてみたり、虫眼鏡を使ったり、最近では少しCMを見かけることが少なくなりましたがハズキルーペのようなメガネを使用します。

歯の表層を見る分にはまだ、裸眼でもそこまで苦にはなりませんが歯の深い部分や歯茎の中を見るには裸眼だと結構見にくいのです。
しかも、口の中は光が届きにくいためとても暗く、見づらいのです。
例えるならば暗いトンネルをわずかなライトを頼りに運転するような物です。

なので、恐る恐る、進んでいく他ないのです。
そこで、できるだけ明るくする方法としてより強い光源を用います。
暗い環境が明るく照らし出されるため、非常に安心して進むことができます。

光源にはハロゲン、LED、キセノンがあります。キセノンはとても明かると言われおりますが高価であり、寿命があります。
ハロゲンはあまり明るくなく、寿命も比較的短いと言われております。
LEDは安価でそして長持ちして、明るいため色々な場所で使われております。
私の場合は、多くはマイクロスコープを使用しますが、こちらは倍率が1.9倍〜18倍と非常に幅広く、全体を見渡したい時やより大きく見たい時と倍率を変更することができます。
さらには、最近は車ではほぼ当たり前のようになってきているドライブレコーダーのような記録装置が付いておりますので実際の状況を動画にて録画もすることができるのです。映像の鮮明さはカメラの質にもよりますがikegamiの3CCDカメラは非常にクリアで繊細に録画することができます。
一旦、マイクロスコープはおいておいて、ハズキルーペのようなメガネスタイルの拡大装置の話をします。

私の母校である愛知学院大学の3年生の時に実習で2倍のルーペを購入しなさいと大学側より案内があります。
はっきりとは覚えてませんが大体20〜30万円くらいだったでしょうか。
それが拡大鏡との出会いです。
当時はヘッドバンドのものでしたので少し個人的にはもう少しシンプルな方がいいなと思っていました。

(写真はサージテル社のモデルさんです)
拡大鏡は色々なメーカーがありますが大学3年時より使用しているサージテルを今でも使用しております。
倍率は2倍、2.5倍、3倍、6倍、8倍、10倍といくつかラインナップがあります。

倍率が大きくなるにつれてレンズは長く、そして重くなります。
見える範囲(被写界深度)も倍率が上がるほど、限られてきますのでより難しくなります。
この辺りはある意味「慣れ」の世界になるかもしれませんが、基本的には低倍率より使用し、徐々に高倍率と
上げていくことが多くあります。
そこに光源をつけて、大きく見えるだけでなく、より明るく見ることが重要なのです。
さらにはサージテルはメガネで有名なoakley:オークリーとコラボしているため、とてもかけ心地が良いです。
当時はヘッドバンドに加えて、Mフレームがあり、レーダー、レーダーEVとアイウェアのデザインも年々変化があります。
ちなみに、10倍のルーペにライトを入れると100万円弱とかなり高価な器具となります。
ちなみに、私のよく使用しているカールツァイスのプロエルゴというマイクロスコープは1200万円ほどする最高機種なんです。

なので購入する際には色々な先生のご意見を聞かせていただいたり、実際にその医院へ見学に行ったりととても勉強しました。おかげで知識がとてもつき本当に、さらに自分の臨床レベルも格段と上がったので本当に購入して良かったと思える機材です。
マイクロスコープも上記のような最高機種からミドルクラスのタイプやもっとリーズナブルな100万円台のものと様々です。

決して高いから良いというものでもありません。やはり用途によって変わってくるんじゃないかと思います。
上記のマイクロはカメラで有名な「ライカ」より発売されたものになります。とても軽く、可動域も広いため使いやすいマイクロの1つです。
当院では歯科医師に加えて、歯科衛生士もルーペ、そしてマイクロスコープを使用することが多くあります。

視力が良い、悪いではなく、しっかり大きく、明るく見えないと不安になってしまうんですよね。
マイクロは特に「使える」までに練習が必要となりますのでしっかりとした学びが必要です。
これからも日々、研鑽していきますのでよろしくお願い致します。
岩崎歯科医院 院長 芳金信太郎
22.09.22
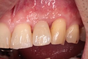
こんにちは。歯科医師の二村です。
今回右上の前歯、歯茎が腫れるとの事で来院されました。

この歯は歯周病が悪化してしまい炎症が起こってます。
歯の周りには骨が支えているのですが、その骨が溶けてしまうことが歯周病と言います。

レントゲン写真で赤丸で囲まれた所は骨が溶けてしまい黒く写っているのがわかると思います。

CT写真でも赤丸で囲まれた所は骨がなく歯根が剥き出しになっています。

右上1番はかなり状態が悪いため、抜歯の可能性も伝えました。
患者さん自身は歯を残す事を希望されたため今後抜歯になる可能性を伝えた上で治療を行いました。
歯周病の原因は汚れからくる細菌感染のため、まず口の中の汚れ(プラーク)を取り除いて歯磨きを上手になってもらうために衛生士による歯磨きチェックを行いました。
口の中の環境が良好になった後に再生療法を行いました。
再生療法とは、歯周病によって失った支持組織を再生する治療のことです。

外科的アプローチで歯茎をめくってみると、かなりの不良肉芽(汚れの塊)が認めました。

不良肉芽を綺麗に除去してみると、レントゲンで確認した通り歯根が剥き出しの状態になってました。

その後、再生材料(エムドゲイン)を填入しました。

異種骨(BioOss)を填入しました。


右のレントゲン写真のように再生されました。今後長期的に経過観察をしていく予定です。
instagram @iwasaki0418
四日市駅徒歩3分 近鉄四日市駅徒歩10分
22.06.15
こんにちは。岩崎歯科 歯科医師の二村です。
今回左下に歯が失ってしまったところにインプラント(人工歯根)を設置しました。

左下(写真の右側)が欠損していることにより右側で過剰に力が負担しているため、インプントを設置することによりそれを予防して歯を壊れにくくすることができます。

インプラントは顎の骨にチタン製のネジを埋め込み、被せ物をして人工の歯を作る治療です。
顎の骨の内部には神経や血管が走行しているため、インプラントを設置するにあたりその様子を把握することが非常に大事になってきます。
当院では安心安全にインプラントを設置するために5つのステップに分けて治療を行っています。
1、CT撮影

CTとはX線を利用して体内の断面図を撮影する技術で、立体的に神経・骨などの様子を把握することができます。
2、コンピューター上で治療を計画

光学式スキャナー(itero)を使用し3Dデータにして、それとCTデータを合体させてコンピューター上で患者様の口腔内の状態を再現します。
コンピューター上で理想的な被せ物の位置関係、顎の神経の位置関係からインプラントの理想的な方向の位置、サイズの太さ長さを分析します。

今回は2本のインプラントを支えに3本の被せ物を作製していく計画を立てました。
3、治療方法と費用のご説明

分析した計画とそれにかかる費用を患者様にご説明します。
4、インプラント(人工歯根)の設置

今回は計画した2本のインプラントを設置しました。

5、最終的な歯の取り付け
下の顎の場合、インプラントと骨と結合する期間を約3ヶ月経過をみます。
問題なければ仮歯を装着します。

仮歯を装着して1ヶ月ほど経過良好であれば最終的な被せ物を装着します。




最終的な被せ物を装着したことにより見た目も機能的にも改善しました。
皆さんも日常生活で美味しいものが噛めなくて困っている方、ご来院お待ちしております。
instagram:@iwasaki0418
四日市駅徒歩3分 近鉄四日市駅徒歩10分
インプラント治療は、従来の入れ歯やブリッジとは違い、天然歯のように美しくしっかりと噛める歯を取り戻す治療法です。
失った歯の代わりに人工歯根(インプラント)を埋め込み、その上に人工の歯を装着します。健康な歯を削ることはありません。
審美歯科治療とは、天然歯のように自然で美しい口元を作ることを目的とした治療です。しかしながら、見た目の美しさの回復は、歯や歯茎の健康はもちろん、咬み合わせなどの正常な機能を持続させることにも貢献しています。主な治療として、歯を削らないホワイトニング、セラミッククラウン・インレーによる修復治療と、表面だけを削るラミネートベニヤなどがあります。様々な目的・処置方法がございますので、審美歯科治療にかかる治療費は、治療法により大きく異なります。失った歯の代わりに人工歯根(インプラント)を埋め込み、その上に人工の歯を装着します。健康な歯を削ることはありません。