クリニックブログ BLOG
19.06.27
岩崎歯科医院 歯科医師の芳金信太郎です。
岩崎歯科では、インビザライン(マウスピース矯正)やインプラント、被せ物などを応用する口腔内スキャナーであるiTeroを導入しました。
今、歯科はとてもデジタルの波が押し寄せております。マウスピース型矯正の代表でもあるインビザラインも今まではシリコンという材料で型取りを行なっておりました。
シリコンでの型取りは材料をお口の中に入れて固まるのに4〜5分かかり、そしてやや味が苦いという難点がありました。
しかし、これからは最新のテクノロジーである光学スキャナーの光を歯に当ててスキャンすることで型取りが出来るようになったのです。より精度の高いお口の状態が記録することが出来るようになり、かつ従来のパックして発送して空輸する時間も不要になりますので、作成までの時間がとても早くなります。
噛み合わせのバランスも赤、緑、黄、青で確かめることもできます。
スキャン後すぐにどのように変化するかもその場でお見せすることもできます。
ぜひ、歯並びが気になる方はスキャンして確認してみませんか?
歯科医師 芳金信太郎
四日市 歯医者 岩崎歯科医院 JR四日市徒歩3分 近鉄四日市徒歩10分
19.06.15
岩崎歯科医院の歯科医師の芳金信太郎です。
今回は虫歯治療と歯の神経の治療について書きます。
虫歯は初期の虫歯から神経に近接するような大きく進行した虫歯とステージによって治療の内容は異なります。
初期の虫歯だと保険診療のコンポジットレジン(CR)とよばれる歯科用の樹脂で封鎖を行ったり、中等度進行のある虫歯だとCRや銀の詰め物(銀や銅、パラジウムetcの合金)で治療することがあります。
また、神経にまで及ぶ深い虫歯の場合は神経を取る治療や、神経が死んでしまっていると壊死した神経を綺麗にする根管治療が必要になります。
残念ながら、銀の治療などはある程度すると外れて再治療が必要になることがあります。
保険診療には限界があります。国の予算で治療に置けるステップ、材料は全て決まっている為、最善、最先端の材料などが使えません。
また、できる限り、虫歯の取り残しのない治療や適合の良い詰め物を作るためには時間と精密さが必要です。
私の場合は顕微鏡(マイクロスコープ)を用いた診療を行なっております。
マイクロスコープはとても小さな歯の中をとても大きく、とても明るく照らしてくれる最強の武器です。(使いこなすには日々の訓練や休日における外部研修、研鑽が必須です)
私は顕微鏡歯科学会に所属をしておりますが、深い虫歯でも神経を残せる可能性が今はとても広がってきております。
無菌的処置に必須なラバーダムとよばれるゴムを歯にかけて唾液等の汚染物質が神経に入らないように守ります。ここにMTAセメント(プロルート)という生体親和性のとても高い材料で神経を保護することによって痛みがでず、神経を取らずに治療を行うことの可能性が高くなります。
次に、神経が死んでしまって既に処置済みの歯が痛み出したケースです。奥歯の神経の入り口はものすごく小さく、またとても複雑です。その細かい部分を肉眼で見ることはほとんどできません。なんとなく、そのへんにあるなというレベルです。マイクロスコープに出会うまでの感想です。今では違います。しっかりと根の中の汚れや根管とよばれる管に張り付いている古い薬の残骸などくっきり見えるのです。
しっかりと汚れを取って、化学的洗浄(劇薬に分類される次亜塩素酸)を行います。この薬はとても刺激の強い薬なのでラバーダムがないととても危ないのです。残念ながらラバーダムは保険診療には含まれておりません。
マイクロスコープを用いると、場合によっては歯の根の先まで見ることも可能です。
繰り返しますが、肉眼でここを見ることなんて100%無理です。しっかりと感染源がなくなれば、繰り返し膿が排出されていた腫れも、みるみるうちに消失するケースが多々です。
1回の診療に10分前後ではなく、ラバーダムと顕微鏡を用いてしっかり時間をかけて(約1時間)、細かく精密に神経を残したり、また、感染した根管をとことん綺麗にするには保険診療では限界があります。
少しでも、丁寧な治療、少しでも歯を残したい、しっかりと説明を聞きたい、と思われる方はぜひ相談していただければ可能な限り説明いたします。ちなみに術後には録画した動画を用いて細かく説明致します。
歯科医師 芳金信太郎
四日市 歯医者 岩崎歯科医院 JR四日市徒歩3分 近鉄四日市徒歩10分
19.04.12
三重県 歯医者 四日市 朝日町 岩崎歯科医院
みなさん、こんにちは。岩崎歯科医院、歯科医師の芳金信太郎です。
本日は、葉加瀬太郎さんの絵画のご紹介です。
昨年の11月に代官山で葉加瀬太郎展がありました。
そこで出会った作品がこちらです。

この絵はwindowsシリーズといっていくつか枠に葉加瀬太郎さんが思いつくままに色々な絵を描いていくシリーズです。
可愛いキャラクターから不思議なキャラクターが色々なところに散りばめられており見ていて飽きない作品です。
この原画、岩崎歯科医院の待合室に飾らせていただいております。ぜひご覧になって下さい。

ちなみに、このwindowsシリーズは2005年ごろから書かれており、そのころはとてもシンプルな感じでした。
近年のwindowsは背景の色がとても複雑に混ざり合いとても素人が描ける絵ではありません。
ということで、昔のwindowsなら素人の私でも描けるのでは?と思い、キャンパスを買い(F50というとても大きなサイズ)
3日で書き上げました。

こちらも医院の階段に飾ってあります。よろしかったら見ていただければ嬉しく思います。
歯科医師 芳金信太郎
四日市 歯医者 岩崎歯科医院 JR四日市徒歩3分 近鉄四日市徒歩10分 マイクロスコープ
19.03.17
ニューヨーク大学 研修日記の続きを書きたいと思います。
VPTバイタルパルプセラピーの内容です。
VPTとは、簡単にいうと歯の神経を取らずに残す治療です。
岩崎歯科でも可能な限りこの神経を残す治療を検討しています。
今、顕微鏡学会でも1番盛り上がってるといってもいい分野がVPTではないでしょうか。
少し難しい話になってしまうのですが、不可逆性歯髄炎はAAE、AAPDでは歯内療法で治療するとされてきていますが、一方で不可逆性歯髄炎をVPTで出来ないかと見直されてもいました。
しかし、歯髄の感染の広がりがどのくらいかを知ることができなかったので歯内療法の方がよいとされていました。
2017 Wolters et al
は現在の可逆性or不可逆性歯髄炎の診断システムはよくないと言っています。
そして、
Asgary et al 2014ランダマイズド クリニカルトライアル
407名の不可逆性歯髄炎のうち205名をVPT(calcium enriched mixture cement)、202名をRCTを行い2年follow upした論文によるとVPTは86.7%、RCTは79.5%の成功率。両群の有意差はなかったとの報告。
また、Galani et al 2017 ランダマイズドコントロールドトライアル
54本の上顎大臼歯のうち27本をVPT(MTA)の成功率は85%、27本をRCTの成功率が87.5%。
follow upは18ヶ月で両群に有意差はなし
とVPT擁護系の論文があります。
興味深いのはVPTの論文が多いのはイランやイラク、イタリアといった国みたいです。基本的にアメリカでは不可逆性歯髄炎の診断ではRCTになりますがその可逆性歯髄炎(reversible)か不可逆性歯髄炎(irreversible)の診断と治療を再評価すべきなのかもしれません。
というような事をLin先生から学びました。
とても、面白いですね。なかなかこんなWorld Wideな事は聞けません。
この日のランチは学食でサラダとチップスをオーダーしました。ベーシックな野菜に自分で卵やナス、マカロニ、コーンなど色々な野菜を追加で頼み、最後にドレッシングを選びそれを混ぜてくれます。値段は9ドルほどです。
ニューヨークの物価はとても高いとされています。コーラなどの500mlの飲料水はコンビニで400円弱します。
日本ではあまり習慣のないチップも飲食代のお会計にプラスで17%、20%、25%から自分で選ぶようになっています。
日本の消費税8%とは比べものにならないくらいプラスアルファの費用がかかります。
ホテルの近くにコンビニがあり自分で紙の弁当箱に詰め込む形式のテイクアウトで夕食をよく取っていました。韓国系の人が経営している店でしたのでアジアンな料理がたくさんありました。この焼きそばがとても美味しくほぼ毎日食べてました笑
これくらいでも1500円以上します。日本に帰ってきてかまどやなどのお弁当が500円ぐらいで食べれてしまうので日本の物価の安定さに感服しました。
歯科医師 芳金信太郎
四日市 歯医者 岩崎歯科医院 JR四日市徒歩3分 近鉄四日市徒歩10分 マイクロスコープ
19.03.12
三重県 歯医者 四日市 朝日町 岩崎歯科医院
こんにちは。歯科医師の芳金信太郎です。
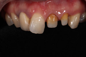
本日は前歯をセラミックによって美しさを回復した審美の症例をご報告致します。
50代女性で前歯が欠けてしまったことが主訴でした。また、過去に神経の治療歴があり歯の色も少し暗い色調になっていました。
また、過去に神経の治療歴があり歯の色も少し暗い色調になっていました。
綺麗なセラミックが入っても歯の中に感染が起きてしまっては意味がありません。
よって、可能な限りセラミックで被せ物をする前にはラバーダムとマイクロスコープ(顕微鏡)を用いて根管治療を行います。
その後、ファイバーコアにて土台を立てていきます。
その後、シリコンという材料で型をとり、金属を使わないオールセラミックにて完成です。
可能であれば、下の前歯、隣の歯を部分矯正でより機能的に動かすこともあります。
セラミックは美しさはもちろんのこと、歯との接着も強い為、外れにくく、そして汚れも付きづらいです。色も変わることはありません。セラミックはとてもいい材料だと確信しております。
歯科医師 芳金信太郎
四日市 歯医者 岩崎歯科医院 JR四日市徒歩3分 近鉄四日市徒歩10分 マイクロスコープ
インプラント治療は、従来の入れ歯やブリッジとは違い、天然歯のように美しくしっかりと噛める歯を取り戻す治療法です。
失った歯の代わりに人工歯根(インプラント)を埋め込み、その上に人工の歯を装着します。健康な歯を削ることはありません。
審美歯科治療とは、天然歯のように自然で美しい口元を作ることを目的とした治療です。しかしながら、見た目の美しさの回復は、歯や歯茎の健康はもちろん、咬み合わせなどの正常な機能を持続させることにも貢献しています。主な治療として、歯を削らないホワイトニング、セラミッククラウン・インレーによる修復治療と、表面だけを削るラミネートベニヤなどがあります。様々な目的・処置方法がございますので、審美歯科治療にかかる治療費は、治療法により大きく異なります。失った歯の代わりに人工歯根(インプラント)を埋め込み、その上に人工の歯を装着します。健康な歯を削ることはありません。