クリニックブログ BLOG
25.11.20
こんにちは!前原です(*´˘`*)♡
今回はインプラントの被せ物、審美治療についてご紹介します✨️
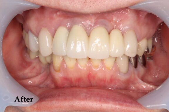
まずこちらの写真は前歯2〜2に3本のインプラントを埋入したジルコニア前歯症例です🍀
長年の使用により、前歯が保存不可になった部位へインプラントとジルコニアでの治療になります✨

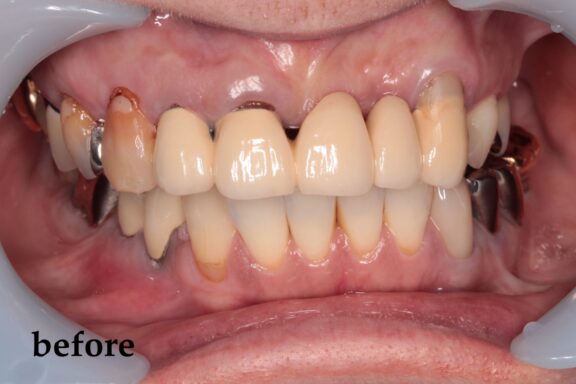
他の歯と比べて色や透明度に適合さ不自然さが確認できます!
Afterの写真通り全体的にも明るく人工物が入っていることが分からないくらいの自然な見た目になりました☺️
続きまして下にあるお写真こちらは、
銀歯からイーマックス(セラミック)インレーの症例です✨️
銀の詰め物を除去して虫歯を取り除き、小さな範囲の修復によるものはイーマックス(セラミック)インレーを選択する事がよくあります!✨️
イーマックスもジルコニアも白い被せ物ではありますが、特徴が異なります‼️
イーマックスはジルコニアと比べると透明感に優れており、審美性が高いです!
ジルコニアは人工ダイヤモンドとも言われるほど頑丈で割れにくいと言われております。
また透明感より白っぽい色をしているのが特徴です😊
写真の通り色も形もピッタリです✨
やはり仕上がりはとても綺麗で詰め物との境界線が分かりづらいですよね!?💖
セラミックは見た目がいいだけではありません、適合と接着がとても優れます!再度虫歯になることはとても少ないように感じます。
歯の見た目を改善したい方や、銀歯をセラミックに変えたいと考えている方にはオススメです☺️
このような審美的や機能的にも美しく健康に長く保っていだだくことを重視した治療です✨
デメリットは、強い力がかかるとまれに割れてしまうことがあると言うことです。
でもセラミックが割れてくれることにより、自分の歯まで割れてしまうという事が避けられるというメリットもあります。
歯が大きく割れてしまうと歯の保存が難しくなることが多くります。
歯はお顔の印象を決める大切な部位でもあります🦷お気軽にご相談ください🙂↕️‼️
インプラント治療は、従来の入れ歯やブリッジとは違い、天然歯のように美しくしっかりと噛める歯を取り戻す治療法です。
失った歯の代わりに人工歯根(インプラント)を埋め込み、その上に人工の歯を装着します。健康な歯を削ることはありません。
審美歯科治療とは、天然歯のように自然で美しい口元を作ることを目的とした治療です。しかしながら、見た目の美しさの回復は、歯や歯茎の健康はもちろん、咬み合わせなどの正常な機能を持続させることにも貢献しています。主な治療として、歯を削らないホワイトニング、セラミッククラウン・インレーによる修復治療と、表面だけを削るラミネートベニヤなどがあります。様々な目的・処置方法がございますので、審美歯科治療にかかる治療費は、治療法により大きく異なります。失った歯の代わりに人工歯根(インプラント)を埋め込み、その上に人工の歯を装着します。健康な歯を削ることはありません。