クリニックブログ BLOG

全顎治療

カテゴリ:
クリニックブログ

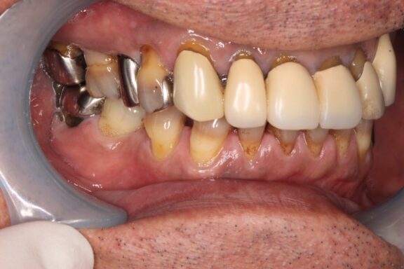
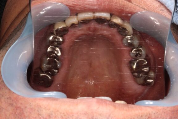
本日は、60歳代男性患者様のケースです。

前歯には、過去に他院様にてプラスチックが前面に貼り付けてある「前装冠」という保険診療のクラウン(被せ物)が施されている状態でした。

奥歯には複数の歯に銀を主成分とするメタル修復がされている状態でした。

今回は審美修復含めて、全体的に綺麗にしていく計画を患者様と一緒に建てさせていただきました。

今回のようなケースは一気に全部を変えていく方法と、順番に部分部分に分けて変えていく方法があります。

個人的には特に時間て制約がなければ、順番に変えていく方が安心だと考えております。

今回は開口量、顎関節には全く問題なかったため、現在の顎位にて順番にジルコニア材料の被せ物にて治療を進めていきました。

 

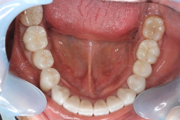
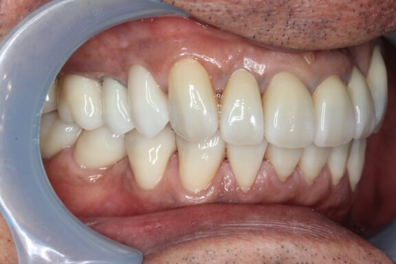
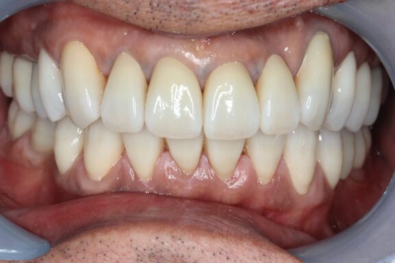
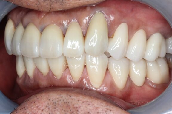
完成がこちらになります。

必要箇所には顕微鏡(マイクロスコープ)にて根管治療を行い、先月、全部の治療が完成しました。

術前、術後で比較すると、とても口腔内が明るくなり、正面から見てもとても若々しく感じます

今回は約1年ほどかけながら順番にゆっくり焦らずしっかりと治療を行っていきました。

あとは、この状態を保つ事が重要です。

しっかりメンテナンスさせていただき、少しでも天然歯で過ごしていただけるよう頑張っていきます。

最後に、こちらの患者様には自由診療を受けて頂いただけでなく、たくさんの患者様もご紹介いただきました。

さらにお菓子なども、複数回くださいました。この場を借りて、改めて本当にありがとうございました。

岩崎歯科医院

 

自由診療について
インプラント治療内容

インプラント治療は、従来の入れ歯やブリッジとは違い、天然歯のように美しくしっかりと噛める歯を取り戻す治療法です。
失った歯の代わりに人工歯根(インプラント)を埋め込み、その上に人工の歯を装着します。健康な歯を削ることはありません。

施術の価格
インプラント(1歯) ¥380,000 ~ ¥400,000(税別) 
相談・検査・診断・治療までの標準料金(※治療内容によって異なります。)
施術のリスク・副作用
インプラント治療は必ず外科治療を伴うため、術後の疼痛・咬合痛・腫脹や出血などを生じる事があります。
施術時、静脈内鎮静麻酔を行う場合、一時的にふらつきが生じる事があります。
上部の人工歯や土台(アバットメント)が外れたり、欠けたりゆるんだりする事があります。
また、インプラントも歯と同様に周囲の骨は歯周病のように吸収を起こすリスクがあるので、術後のメインテナンスは必須です。
審美歯科内容

審美歯科治療とは、天然歯のように自然で美しい口元を作ることを目的とした治療です。しかしながら、見た目の美しさの回復は、歯や歯茎の健康はもちろん、咬み合わせなどの正常な機能を持続させることにも貢献しています。主な治療として、歯を削らないホワイトニング、セラミッククラウン・インレーによる修復治療と、表面だけを削るラミネートベニヤなどがあります。様々な目的・処置方法がございますので、審美歯科治療にかかる治療費は、治療法により大きく異なります。失った歯の代わりに人工歯根(インプラント)を埋め込み、その上に人工の歯を装着します。健康な歯を削ることはありません。

施術の価格
補綴(1歯) ¥30,000 ~ / 入れ歯・義歯 ~¥250,000(税別) 
相談・検査・診断・治療までの標準料金(※治療内容によって異なります。)
施術のリスク・副作用
【ホワイトニング】
ホワイトニング剤の刺激により、歯がしみる知覚過敏の症状がおこる可能性があります。
【オールセラミッククラウン】
金属などのインレーやクラウンと比べると、強度が若干劣ります。
【セラミックインレー】
部分的に削った箇所に装着するため、歯を削る量が比較的多くなります。
【ラミネートベニア】
強い力のかかる臼歯部などに装着すると、割れる場合があります。
【メタルセラミッククラウン】
金属を全く使用しないオールセラミックと比べると、見た目はやや劣ります。
また、金属を使用するため、歯茎や歯と歯茎の境目が変色してくる場合や、金属アレルギーを引き起こす可能性があります。